همه چیز دربارهی سندروم داون؛ علت و روش تشخیص آن در جنین
سندروم داون یک اختلال ژنتیکی است که در لحظهی تشکیل اولین سلول جنین ایجاد میشود. افراد درگیر با این اختلال نسبت به افراد معمولی 1 کروموزم بیشتر دارند و همین موضوع باعث ایجاد تفاوتهایی در ظاهر و عملکردهای شناختی این افراد شده است.
در این مطلب از دیجیکالا مگ میخواهیم سندروم داون را عمیقتر و کمی علمیتر بررسی کنیم و بیشتر با آن آشنا شویم.
سندروم داون چیست و چقدر شایع است؟
چه زمانی سندروم داون کشف شد؟
آیا سندروم داون انواع مختلفی دارد؟
چه چیزی باعث ایجاد سندروم داون میشود؟
چه کسانی در معرض سندروم داون هستند؟
سندرم داون از چند ماهگی قابل تشخیص است؟
چند توصیه برای ارتباط با افراد درگیر با سندروم داون و خانوادهی آنها
سندروم داون چیست و چقدر شایع است؟

هسته، بخش مرکزی سلولهای بدن انسان است که تمام ذخیرهی ژنتیکی در آن وجود دارد. ژنها حامل کدهایی هستند که تمام صفات ارثی را از اجدادمان به ما منتقل میکنند و همینطور از ما، به نسل بعد هم انتقال میدهند. کروموزومها هم ساختارهای میلهای شکلی هستند که ژنها در آنها گروهبندی میشوند. در حالت معمولی هر سلول 23 جفت کروموزوم (یعنی 46 کروموزوم) دارد که نیمی از آنها را از مادر و نیمی دیگر را از پدر به ارث برده است. سندروم داون وقتی رخ میدهد که یک فرد یک نسخهی اضافی کامل یا جزئی از کروموزوم 21 داشته باشد.
این مادهی ژنتیکی اضافی روند رشد را تغییر میدهد و ویژگیهای مختلفی در ارتباط با سندروم داون را ایجاد میکند. بعضی از ویژگیهای فیزیکی و ظاهری آن را میشناسید؛ تون عضلانی (انقباض خفیف) پایین، قد کوتاه، چشمهای مایل به سمت بالا و یک چین عمیق در وسط کف دست. این ویژگیها در درجات و با شدتهای مختلف در افراد درگیر با این سندروم مشاهده میشود.
با توجه به گزارش مراکز کنترل و پیشگیری از بیماریهای خاص، تقریبا از هر 772 نوزادی که متولد میشود یکی با اختلال سندروم داون درگیر است. همچنین در ایالات متحده سالانه 5100 نوزاد درگیر با این سندروم متولد میشوند. پس میتوان این اختلال را به عنوان شایعترین اختلال کروموزمی شناسایی کرد.
چه زمانی سندروم داون کشف شد؟
اگر به ادبیات، هنر و علم مربوط به قرنهای گذشته سر بزنیم، میبینیم که در تمام آنها به افراد درگیر با این سندروم اشاره شده است. اما تا اواخر قرن نوزدهم این موضوع به عنوان یک اختلال شناسایی و کشف نشده بود. جان لنگدون داون (John Langdon Down)، پزشک انگلیسی، شخصی بود که برای اولین بار توصیفی دقیق از یک فرد درگیر با این اختلال را منتشر کرد.
این اثر علمی در سال 1866 منتشر شد و «داون» را به عنوان پدر این سندروم معرفی کرد. درست است که قبلا بارها و بارها این اختلال مشاهده شده بود و افراد درگیر با آن در جامعه حضور داشتند اما این «داون» بود که این اختلال را به صورت مجزا توصیف کرد و آن را به رسمیت شناخت.
بعد از آن پیشرفتهای پزشکی و علمی مختلف به محققان این امکان را داد که ویژگیهای افراد درگیر با سندروم داون را بیشتر و بهتر بررسی کنند. در سال 1959 زورم لژون (Jérôme Lejeune)، پزشک فرانسوی، این سندروم را به عنوان یک اختلال کروموزمی شناسایی و معرفی کرد. او توانست 47 کروموزوم را به جای 46 کروموزم در هر سلول بدن فرد درگیر با این اختلال مشاهده کند.
بعدها مشخص شد که یک کپی جزئی یا کامل اضافی از کروموزوم 21 منجر به ایجاد ویژگیهای مرتبط با این سندروم میشود. در سال 2000 هم یک تیم بینالمللی از دانشمندان توانستند با موفقیت هر 329 ژن کروموزوم 21 را شناسایی و فهرستبندی کنند.
آیا سندروم داون انواع مختلفی دارد؟

این اختلال هم مثل هر اختلال دیگری انواع مختلفی دارد که در این بخش دربارهی آنها میخوانید.
تریزومی 21 یا عدم انفصال (Trisomy 21 / Nondisjunction)

این اختلال معمولا به دلیل یک خطا در تقسیم سلولی به نام «عدم اتصال» ایجاد میشود. عدم جداسازی باعث میشود جنین با 3 نسخه از کروموزوم 21 شکل بگیرد (در حالت معمولی هر جنین باید فقط 2 نسخه از کروموزوم 21 داشته باشد).
قبل یا در حین لقاح یک جفت کروموزوم 21 در اسپرم یا تخمک از هم جدا نمیشوند و زه همین دلیل جنین با یک نسخهی اضافه از این کروموزوم در هر سلول خود رشد میکند. این نوع از سندروم داون، که 95٪ موارد را شامل میشود، تریزومی 21 نام دارد.
موزائیسم (Mosaicism)

موزائیسم، یا سندروم داون موزاییک، زمانی ایجاد میشود که ترکیبی از دو نوع سلول وجود داشته باشد. یعنی بعضی از سلولها به صورت معمولی 46 کروموزوم و بعضی دیگر 47 کروموزوم دارند. آن سلولهایی که 47 کروموزوم دارند همانهایی هستند که یک نسخهی اضافه از کروموزم 21 دارند.
موزائیسم کمترین شیوع در بین افراد درگیر با این سندروم را دارد و فقط 2٪ از بیماران با آن درگیر هستند. تحقیقات نشان داده است که افراد درگیر با سندروم داون موزائیک میتوانند ویژگیهای کمتری نسبت به دیگر انواع آن را بروز دهند.
جابهجایی (Translocation)
این نوع از سندروم داون فقط شامل 3٪ از موارد ابتلا میشود و در آن تعداد کروموزومها در سلول 46 عدد باقی مانده است. اما یک نسخهی کامل یا جزئی اضافی از کروموزم 21 به کروموزوم دیگر (معمولا کروموزوم 14) وصل شده است. همین موضوع باعث ایجاد ویژگیهای این سندروم در فرد میشود.
چه چیزی باعث ایجاد سندروم داون میشود؟
شاید این سوال برای شما پیش آمده باشد که «علت سندورم داون چیست؟». باید بگوییم که علت اصلی اضافه شدن کامل یا جزئی یک کروموزوم 21 اضافه هنوز ناشناخته است. محققان فقط میدانند که با افزایش سن والدین در افزایش شانس تولد نوزاد درگیر با سندروم داون ناشی از عدم جدایی یا موزائیسم مرتبط است. این در حالی است که 51٪ از کودکان درگیر با این اختلال ژنتیکی از مادرانی با سن زیر 35 سال متولد میشوند.
تحقیقات علمی هنوز نتوانستهاند دلیل اصلی ایجاد این سندروم را مشخص کنند. پس نمیتوان گفت که عوامل محیطی یا فعالیتهای مختلف والدین قبل از بارداری یا در طول بارداری در این عارضه موثر است. این کروموزوم اضافه میتواند از هر کدام از والدین به جنین برسد و تا امروز مشخص شده است که 5٪ موارد از طرف پدر منتقل شده است.
چه کسانی در معرض سندروم داون هستند؟

برای بررسی این موضوع که چه افرادی در معرض این سندروم قرار میگیرند باید کمی بیشتر دربارهی احتمالات در علم ژنتیک صحبت کنیم. در ادامه با جزئیات بیشتری این موضوع را بررسی میکنیم.
چقدر احتمال دارد که یک نوزاد درگیر با سندروم داون متولد شود؟
این اختلال ژنتیکی در افرادی از هر نژاد و سطح اقتصادی رخ میدهد. یک خانم 35 ساله تقریبم یک در 350 شانس باردار شدن یک کودک درگیر با این سندروم را دارد. جالب است بدانید که این شانس به تدریج تا 40 سالگی به یک در 100 افزایش پیدا میکند. در سن 45 سالگی این این شانس تقریبا به یک در 30 میرسد.
با توجه به اینکه اغلب زوجها فرزندآوری را به سنین بالاتر موکول میکنند پس انتظار میرود تعداد نوزادان متولد شده با این سندروم در جامعه رو به افزایش باشد. به همین دلیل مشاورهی ژنتیک برای والدین بسیار اهمیت دارد و باید حتما قبل از تصمیم برای بارداری در سنین بالای 30 سال با یک متخصص ژنتیک مشورت کنید.
احتمال داشتن فرزند دوم درگیر با سندروم داون چقدر است؟
زمانی که والدین نوزادی با تریزومی 21 یا جابهجایی به دنیا میآورند، اینطور تخمین زده میشود که تا سن 40 سالگی شانس داشتن نوزادی دیگری با تریزومی 21 برابر با 1٪ باشد. خطر ایجاد نوع جابهجایی در صورت ناقل بودن پدر 3٪ و در صورت ناقل بودن مادر 10٪ تا 15٪ است. پس باز هم باید روی این نکته تاکید کنیم که مشاورهی ژنتیک قبل از بارداری نقش بسیار مهمی در پیشگیری از تولد نوزادی با سندروم داون دارد.
آیا سندروم داون یک اختلال ژنتیکی وابسته به خانواده است؟
هر سه نوع مختلف این سندروم اختلالهای وابسته به ژنتیک هستند، اما فقط 1٪ از افراد درگیر با آن، این اختلال را به ارث بردهاند. میتوان با قطعیت گفت که وراثت عامل ایجاد انواع تریزومی 21 و موزائیسم نیستند. با این حال یک سوم موارد سندروم داون ناشی از جابهجایی با وراثت ارتباط دارد که در کل 1٪ از تمام موارد ابتلا به این سندروم را شامل میشود. تا امروز دلیلی مبنی بر انتقال این سندروم از والدین به نوزاد مشاهده نشده است.
| احتمال بروز سندروم داون | سن مادر |
| 1 در 2000 | 20 |
| 1 در 1700 | 21 |
| 1 در 1500 | 22 |
| 1 در 1400 | 23 |
| 1 در 1300 | 24 |
| 1 در 1200 | 25 |
| 1 در 1100 | 26 |
| 1 در 1050 | 27 |
| 1 در 1000 | 28 |
| 1 در 950 | 29 |
سندرم داون از چند ماهگی قابل تشخیص است؟

برای تشخیص سندروم داون در نوزاد میتوانید قبل یا در زمان تولد آزمایشهایی را انجام دهید. البته توصیهی متخصصین تشخیص زودهنگام آن قبل از تولد است، اما در این بخش هر دو روش را توضیح میدهیم.
قبل از تولد
قبل از تولد با انجام آزمایشهای غربالگری و آزمایشهای تشخیصی میتوانید نسبت به وجود یا عدم وجود این سندروم در جنین آگاه شوید.
غربالگری وجود یا عدم وجود اختلال را اعلام نمیکند و فقط احتمال درگیری جنین با این اختلال را تخمین میزند، اما تستهای تشخیصی با دقت تقریبا 100٪ میتواند درگیری با آن را تشخیص دهد.
غربالگری در سه ماه اول بارداری، بین هفتهی 11 تا 14، انجام میشود. برای انجام آن ابتدا یک آزمایش خون و سپس سونوگرافی انجام میشود.
در روش آزمایشهای تشخیصی از پرزهای کوریونی (CVS) و آمینوسنتز نمونهبرداری میشود. انجام این روش 1٪ ریسک سقط جنین به صورت خودبهخود را به همراه دارد اما پاسخ آن تقریبا 100٪ دقیق است. تست آمینوسنتز در هفتههای 15 تا 20 و CVS در هفتههای 11 تا 14 بارداری انجام میشود.
هنگام تولد

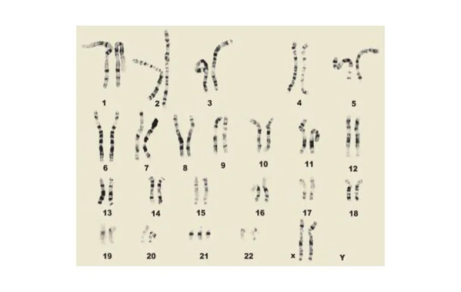
سندروم داون در بدو تولد با علائمی مثل تون عضلانی کم، یک چین در کف دست، نیمرخ کمی پهن شدهی صورت و چشمهای مایل به سمت بالا قابل تشخیص است. همچنین انجام آنالیز کروموزمی به نام کاریوتایپ هم میتواند این اختلال را تشخیص دهد.
آزمایش کاریوتایپ روی نمونهی خون نوزاد و با هدف بررسی سلولهای آن انجام میشود. در این آزمایش از کروموزومها عکس گرفته میشود و سپس کروموزومها براساس اندازه، تعداد و شکل گروهبندی میشوند. پزشکان با بررسی این عکس میتوانند سندروم داون را تشخیص دهند.
آزمایش ژنتیکی دیگری با نام هیبریداسیون فلورسانس درجا (FISH) هم میتواند با تصویرسازی و تقشهبرداری از مواد ژنتیکی موجود در سلولهای فرد، در زمان کوتاهترین وجود این اختلال را تایید کند.
چند توصیه برای ارتباط با افراد درگیر با سندروم داون و خانوادهی آنها
نکات ساده اما مهمی وجود دارد که باید بدانید و در ارتباط با افراد درگیر با این سندروم و خانوادهی آنها حتما رعایت کنید:
- افراد درگیر با این سندروم را همیشه به عنوان یک فرد و شخصیت واقعی بشناسید.
- به جای استفاده از «کودک سندروم داون» باید از عبارت «کودک مبتلا به سندروم داون» استفاده کنید. همچنین از عبارت «فرزند داون» و توصیح وضعیت او با عنوان «داون» خودداری کنید. مثلا نباید بگویید «او دارای داون است».
- سندروم داون یک اختلال و سندروم است، نه یک بیماری.
- افراد سندروم داون دارند، نه به آن مبتلا میشوند و نه از آن رنج میبرند.
- از عبارت «کمتوانی ذهنی» به جای «ناتوانی ذهنی» یا «ناتوانی شناختی» استفاده کنید.
- هرگز از عبارت «عقب مانده» استفاده نکنید. این یک عبارت تحقیرآمیز است که نه تنها فرد درگیر با سندروم داون را آزار میدهد، بلکه خانوادهی او را هم ناراحت میکند.
مرور کلی
سندروم داون یک اختلال ژنتیکی است که در زمان جنینی و تشکیل نطفه ایجاد میشود. افراد درگیر با سندروم داون یک کروموزوم 21 اضافه را به شکل جزئی یا کامل در سلولهای بدن خود دارند. این کروموزوم اضافه میتواند از هر یک از والدین به نوزاد منتقل شده باشد و باعث ایجاد این اختلال به سه شکل مختلف در نوزاد شود. در این مطلب توضیحات کاملی دربارهی این اختلال داده شد و انواع آن هم بررسی شدند. توصیهی پزشکان و متخصصان این است که برای جلوگیری از تولد نوزاد درگیر با سندروم داون، حتما قبل از بارداری مشاورهی ژنتیک انجام شود.
منبع: NDSS
ممنون از مقاله کامل و خوبتون، فقط من درست متوجه نشدم ممکنه بگید دقیقا سندروم داون از چند ماهگی قابل تشخیص است؟